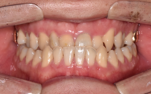
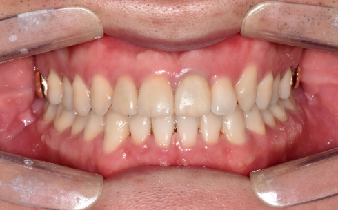
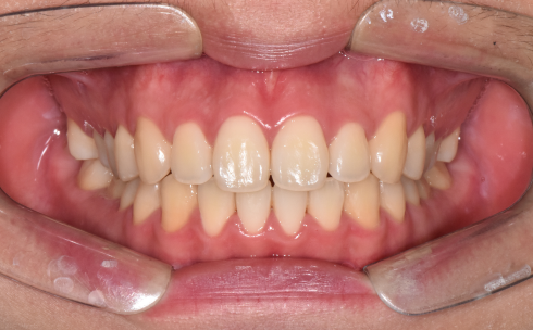
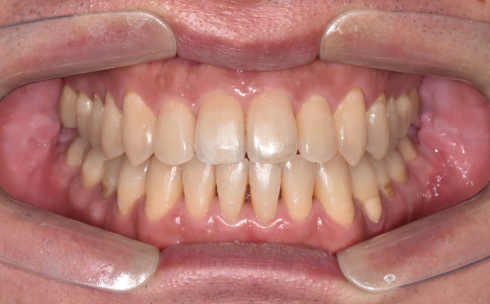
더 고운 미소를 드리는 치아 교정
치과교정과 전문의 & 치의학 박사 진료
소아부터 성인까지다양한 임상과 연구 경험으로 체계적인 교정 치료가 가능합니다.
빠른 교정보다는 바른 교정
환자를 위한, 최선을 고민하는,
환자를 위한, 최선을 고민하는,
원칙을 지키는 교정의 정석
비발치
자연치아의 발치는 최소화하고
전체 치열 이동으로 배열과 교합을 완성합니다.
비보철
인공 치아 수복을 최소화하며
자연치아 이동으로 배열과 교합을 완성합니다.
비수술
전신 마취 수술 없이
확장, 치아 이동으로 부정교합을 개선합니다.
빠르고 정확한 디지털 스캔으로 미리 보는 나의 달라진 모습
i-Tero Lumina
i-Tero Lumina
& Morpheus
- 현존 가장 빠르고 정밀한 디지털 스캐너 i-Tero Lumina
- 3차원 얼굴 스캔을 통한 치료 결과 예상에 최적화된 Morpheus
- 0.1mm, 0.1º 까지 정밀한 맞춤 계획


